Healthy Smiles in Oakland
Trusted dentistry for Oakland, California families
In Oakland, California, our team pairs advanced training with a calm, respectful atmosphere. We use digital X-rays, intraoral cameras, modern anesthesia, and gentle techniques to reduce anxiety and speed healing. Every plan includes clear options, timelines, and fees before treatment begins. Whether you’re managing a toothache, catching up after a break, or planning cosmetic improvements, we tailor visits to your goals and schedule so care feels predictable, affordable, and genuinely convenient for everyday life nearby.
Colleen Vasquez completed a hospital-based residency caring for medically complex and special needs patients under IV sedation. Lance Brune trained in pediatric care, oral surgery, implants, and advanced restorative dentistry. Together, they bring experience and hundreds of continuing education hours each year. From preventive checkups to Invisalign, implants, and same-day crowns, Lakeshore Family Dentistry delivers evidence-based dentistry in Oakland, California. We listen carefully, explain each step with photos, and design conservative treatments that protect comfort, function, and long-term esthetics.
Caring for Your Smile
Our Services
Lakeshore Family Dentistry offers preventive, restorative, cosmetic, and emergency dentistry in Oakland, California. Services include exams and cleanings, tooth-colored fillings, periodontal therapy, same-day crowns, Invisalign aligners, dental implants, root canal therapy, whitening, porcelain veneers, nightguards, extractions, and TMJ treatment. We create conservative plans with clear timelines, fees, and maintenance to protect health.
Dental Care for the Whole Family
From toddlers to grandparents, we tailor visits to each stage of life. Gentle checkups in Oakland, California keep smiles healthy and comfortable between professional cleanings.
Busy schedule? Early hours make family dentistry easier. We explain options and plan conservative care that fits your calendar, budget, and goals in Oakland, California.
Anxious about treatment? Our gentle techniques, modern anesthesia, and communication help reduce stress. We build trust with photos, step-by-step explanations, and questions in Oakland, California.
Prevention protects cosmetic work and implants. Personalized home-care tips, fluoride, and nightguards help maintain function and esthetics between visits across Oakland, California and nearby neighborhoods.
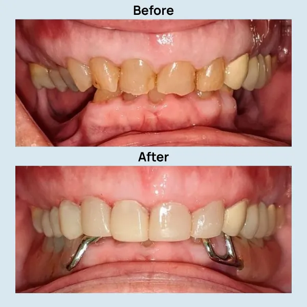
Smile Transformations
Results That Speak for Themselves
See what’s possible with conservative, thoughtfully planned dentistry. Our before-and-after gallery features real patients from Oakland, California who chose whitening, Invisalign, same-day crowns, implant restorations, and porcelain veneers. Each case begins with photos and a conversation about goals, followed by clear options, timelines, and fees. We use digital scans and shade matching to create natural results that feel comfortable in daily life. Explore examples of repaired chips, closing spaces, replacing missing teeth, and refreshing older dentistry. Results speak for themselves—and inspire confident smiling at work, on weekends, and in every Oakland neighborhood. Browse full-arch cases and subtle cosmetic refinements today.
View Our GalleryReviews
